Лучевая диагностика при кровотечениях и тромбозах: плюсы и минусы разных методов

Фото носит иллюстративный характер. Из открытых источников.
Острые клинические состояния, требующие экстренной и неотложной медицинской помощи, нередко обусловлены нарушениями системы гемостаза — кровотечениями, кровоизлияниями во внутренние органы, а также тромбозами, приводящими к ишемии и некрозу органов и тканей. В таких ситуациях особое значение имеют методы лучевой диагностики — КТ, МРТ и УЗИ. У каждого из этих методов есть свои плюсы и минусы в конкретной клинической ситуации. Так, преимуществами УЗИ являются доступность, безопасность для пациента, это исследование практически не имеет противопоказаний, может выполняться многократно, однако при некоторых патологиях является гораздо менее информативным. В свою очередь высокоинформативные МРТ и КТ, особенно с использованием контрастирования, имеют ряд абсолютных и относительных противопоказаний, продиктованных состоянием пациента и сопутствующей патологией.
Тема лучевой диагностики при кровотечениях и тромбозах обсуждалась на международной научно-практической конференции «Гематология: вчера, сегодня, завтра», прошедшей на базе МНПЦ хирургии, трансплантологии и гематологии. Своими наработками поделились специалисты Главного военного клинического госпиталя имени Н. Н. Бурденко (Россия) — обобщенный опыт представил Сергей Алексеев, врач лучевой диагностики, кандидат мед. наук.
Органы головы и шеи
Специалист начал с одной из самых распространенных проблем, связанных с диагностикой острых нарушений мозгового кровообращения (ОНМК).
— Развитие у пациента симптоматики ОНМК всегда диктует необходимость быстрого принятия решения. Клиницисты, заподозрив инсульт, как правило, сразу же направляют пациента на КТ, поскольку этот метод является гораздо более доступным по сравнению с МРТ, занимает меньше времени, позволяет получить заключение уже через несколько минут, — отметил Сергей Алексеев.
Сергей Алексеев:
Необходимо учитывать, что в раннюю острую стадию нарушения мозгового кровообращения по ишемическому типу КТ может быть абсолютно неинформативной! В такой ситуации при выполнении КТ мы, к сожалению, не сможем оценить поражение вещества головного мозга, в отличие от МРТ.
Ошибочное заключение может привести к печальным последствиям. Выявить наличие ишемических процессов в головном мозге позволяет КТ с ангиографией. При невозможности выполнить МРТ или КТ с ангиографией пациенту с неврологической симптоматикой и подозрением на ишемический инсульт следует ориентироваться на клиническую симптоматику и мониторить состояние, чтобы оперативно изменить тактику ведения при необходимости.

Специалист продемонстрировал клинический случай, подтверждающий сказанное (см. рис. 1).

При геморрагическом инсульте актуальным является применение как КТ, так и МРТ, оба метода информативны (см. рис. 2).
— Преимущество КТ в том, что исследование занимает меньше времени, поэтому хирурги предпочитают направлять пациентов на КТ, — отметил Сергей Алексеев.
— Если направляют терапевт и гематолог, то их главный вопрос обычно сводится к тому, есть ли церебральное кровоизлияние. Наша задача ответить и, если это представляется возможным, определить источник кровотечения.

Для детального исследования сосудистой патологии головного мозга выполняются КТ и МРТ с ангиографией (см. рис. 3).
Результаты этих исследований помогают неврологам и нейрохирургам в подтверждении диагноза и выбора тактики ведения пациента. При выполнении КТ с ангиографией всегда применяется внутривенное введение контрастного вещества, поэтому необходимо учитывать противопоказания. Методы МРТ с ангиографией бывают как с контрастным усилением, так и без него. Контрастное вещество повышает степень отдачи сигнала от сканируемого участка тела.
— Следует понимать, что МРТ с ангиографией (без контрастного усиления) способна визуализировать только более крупные сосуды, при этом практически не визуализирует мелкие сосуды и коллатерали, — акцентировал внимание специалист.
Сергей Алексеев:
КТ-ангиография с контрастом является золотым стандартом исследования не только крупных артерий и вен головного мозга, она также позволяет с высокой точностью оценить состояние более мелких сосудов, показывает аневризмы, мальформации, атеросклеротические бляшки.
Часто этот метод назначается перед хирургическими вмешательствами на сосудах. При тромбозе крупного сосуда отмечается отсутствие визуализации отходящих от него мелких сосудов.

В сложных клинических случаях целесообразно применять мультимодальный подход, при котором одни методы исследования дополняются другими, что позволяет получить наиболее полную, детальную и объективную информацию (см. рис. 4, 5). С этой же целью используются комплексные алгоритмы сканирования, например, головы 
и шеи, когда одновременно визуализируется кровоток как внутри головы, так и в области шеи.
Органы грудной клетки
— Наиболее распространенным, чувствительным методом диагностики кровотечений и тромбозов в легких является стандартная КТ без контрастирования. В сложных случаях, а также при подозрении на кровотечения или тромбозы в сосудах легких назначается КТ с ангиографией (с контрастированием), — отметил Сергей Алексеев.
Специалист обратил особое внимание на необходимость и важность взаимодействия между врачами-рентгенологами и клиницистами.
Сергей Алексеев:
Нередко приходится сталкиваться с тем, что врач-клиницист в направлении на исследование пишет общую фразу «КТ органов грудной клетки». Такое неправильно сформулированное направление приводит к тому, что пациенту выполняется не то исследование, которое ему необходимо.

— Например, пациенту с подозрением на тромбоэмболию выполняется стандартная КТ, без контрастирования, в итоге патология не выявляется, — подчеркнул докладчик. — У нас был такой случай. Поступил пациент с лимфомой Ходжкина, резким ухудшением состояния. В направлении ему написали «КТ органов грудной клетки», вследствие чего исследование оказалось неинформативным. Возникла необходимость повторного исследования, с контрастированием. Выявлена обширная тромбоэмболия ствола легочной артерии (см. рис. 6).
КТ с ангиографией позволяет также выявлять опухолевые тромбозы, при данной патологии это наиболее востребованный метод, поскольку тромбоэмболические осложнения возникают, как правило, уже на поздних стадиях опухолевых процессов, когда выполнить МРТ пациентам становится проблематично из-за их тяжелого общего состояния.
Специалист привел пример диагностического поиска:

— У пациентки с периферической опухолью в правом легком появились жалобы на одышку, отмечались шумы в левом предсердии, изменения на ЭКГ, выполнена Эхо-КГ, свидетельствующая о выраженной сердечной недостаточности. Вследствие этого была предпринята попытка выполнить плановое МРТ-исследование сердца, однако его пришлось прервать, так как пациентка не смогла выполнять команды, исследование оказалось неинформативным. Принято решение о выполнении КТ с ангиографией, на котором четко увидели признаки обширного тромбоза левого предсердия (см. рис. 7).

Еще один часто встречающийся вид осложнений — внутрилегочное кровотечение (см. рис. 8). Взаимодействие между клиницистами и рентгенологами при диагностике этой жизнеугрожающей патологии иногда играет решающую роль.
Понимание анамнеза дает возможность выбрать способ сканирования, уделить особое внимание той или иной области. По словам Сергея Алексеева, сложнее всего, когда пациент поступает без документов, предполагать можно все, что угодно, при этом нет специфичности выполнения исследования. Специалист поделился случаем из практики анализа результатов КТ пациента с синдромом Гудпасчера. Это аутоиммунная патология, при которой образуются антитела к базальным мембранам почечных клубочков и легочных альвеол. Заболевание проявляется рецидивирующими легочными кровотечениями и прогрессирующим гломерулонефритом.
— Пациент в тяжелом состоянии поступил по скорой, при этом у него не было никаких документов, мы не знали анамнез, и это было в период пандемии COVID-19, — рассказал Сергей Алексеев. — Результаты КТ были расценены как коронавирусная пневмония ровно до того момента, пока не выяснилось, что пациент страдает синдромом Гудпасчера. К слову, позже, когда мы ретроспективно показывали снимки коллегам, все в один голос предполагали: это ковид.
Органы брюшной полости
При лучевой диагностике тромбозов и кровотечений в брюшной полости чаще применяются УЗИ и КТ, как по отдельности, так и дополняя друг друга, реже — МРТ.

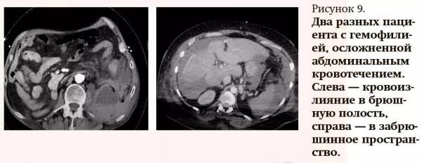
Причинами абдоминальных кровотечений могут быть различные травмы (не только в области живота, но и грудной клетки), острая и хроническая патология внутренних органов, состояния, связанные со снижением свертываемости крови (например, гемофилия), также это могут быть осложнения после хирургических вмешательств в постоперационном периоде. Чаще встречаются кровоизлияния в брюшную полость, гораздо реже — в забрюшинное пространство (см. рис. 9).
Говоря в очередной раз о важности взаимодействия специалистов лучевой диагностики с клиницистами, докладчик затронул еще один аспект — недопустимость спешки и «поторапливания» в выдаче заключений.
— Бывает, что пациента только привезли на исследование, а врач, направивший его, уже звонит и требует ответ: «Так что там? Давай побыстрее!». Такая спешка может привести к грубым ошибкам, — предостерег Сергей Алексеев. — У нас был случай, когда молодой неопытный специалист лучевой диагностики расценил патологические изменения у пациента с забрюшинной гематомой как опухолевый процесс, вынес заключение «опухоль». Вследствие этого пациент несколько суток провел в общем отделении вместо того, чтобы своевременно получить квалифицированную помощь.
При лимфопролиферативных заболеваниях нередко встречается такое осложнение, как инфаркт селезенки — очаговый или обширный некроз ткани органа. Развивается при полной или частичной окклюзии селезеночной артерии вследствие тромбоза, эмболии или длительного спазма.

Принципиальный момент: важно дифференцировать инфаркт от травматического или другого поражения селезенки. Информативным является КТ с контрастным усилением, а также МРТ (см. рис. 10).
Мезентериальный тромбоз — жизнеугрожающее состояние, требующее экстренного хирургического вмешательства. Возникает в результате образования тромбов или тромбоэмболии в сосудах, питающих тонкий кишечник, чаще в бассейне верхней брыжеечной артерии, что ведет к снижению притока крови, ишемии и некрозу кишечника. Хроническая мезентериальная ишемия возникает, когда в сосудах кишечника постепенно образуются атеросклеротические бляшки и со временем блокируют кровоток, однако при этом развиваются коллатерали (обходные пути кровотока). Мезентериальный тромбоз может выявляться на УЗИ, но КТ с ангиографией дает более детальную картину.
Специалист продемонстрировал клинический случай:

— У пациентки с гипергомоцистеинемией (а это известный фактор риска атеросклероза и тромбоза) выявлено снижение тока крови в бассейне верхней брыжеечной артерии. Для более детальной оценки и обнаружения других патологических изменений выполнили КТ-ангиографию бассейна верхней брыжеечной артерии, на которой четко увидели дефект контрастирования (см. рис. 11).
Все снимки были продемонстрированы во время выступления докладчика.
Источник: medvestnik.by