Лимфома Ходжкина у детей и подростков

Фото носит иллюстративный характер. Из открытых источников.
Понятие «лимфома» объединяет множество заболеваний, различных по своим клиническим проявлениям, течению и прогнозу. Все лимфомы делятся на две большие группы: лимфома Ходжкина (ЛХ) и неходжкинские лимфомы. Первая названа в честь ученого Томаса Ходжкина, который впервые описал ее в 1832 году (а само название введено ВОЗ в 2001-м). Синонимы — лимфогранулематоз, болезнь Ходжкина. ЛХ стала первой клинически и морфологически распознаваемой злокачественной опухолью и первым злокачественным заболеванием, при котором больные имели шанс на полное излечение при наличии в арсенале врача-онколога только лучевой терапии. Сегодня успехи в лечении ЛХ относятся к ярким победам онкологии.
![Лимфома Ходжкина у детей и подростков
Лимфома Ходжкина у детей и подростков]()
Статистика
По данным республиканского канцер-регистра, заболеваемость лимфомой Ходжкина у детей в Беларуси составляет 1,34:100 000. Заболевание встречается во всех возрастах за исключением детей до одного года, крайне редко — до 5 лет, наиболее часто — среди подростков от 15 до 19 лет. Ежегодно в нашей стране насчитывается около 30 случаев ЛХ среди детей и подростков.
Причины и факторы риска
Конкретная причина возникновения ЛХ в большинстве случаев остается неизвестной. В настоящее время изучается роль вирусов в этиологии злокачественных лимфом (Эпштейна — Барр, цитомегаловирус, вирус герпеса 6-го типа), однако бесспорных доказательств вирусной теории не получено. Кроме того, к факторам, предрасполагающим к развитию ЛХ, относятся различные иммунодефицитные состояния (прием лекарств, подавляющих иммунитет, ВИЧ-инфекция, врожденные иммунодефициты), воздействие ионизирующего излучения и генетические факторы.
Клиническая картина
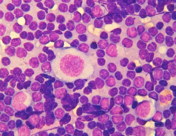
При ЛХ опухоль представлена злокачественными клетками Рид — Штернберга и клетками Ходжкина. Могут поражаться различные внутренние органы, вызывая нарушение их нормальной работы.

Как правило, первым признаком заболевания является безболезненное увеличение одного или нескольких лимфатических узлов, чаще на шее, реже — в подмышечной, паховой области. Иногда опухолевый процесс начинается в недоступных для осмотра местах — грудной клетке (средостении) или брюшной полости. Тогда увеличивающиеся лимфоузлы могут сдавливать соседние органы, вызывая сухой кашель, одышку, боли в животе. Опухоль может распространяться на внутренние органы (легкие, печень, почки и др.).
Кроме увеличения лимфатических узлов могут наблюдаться такие симптомы, как повышение температуры, слабость, ночная потливость, зуд кожи, снижение веса. Эти симптомы учитываются при определении стадии заболевания.
Диагностика
Для диагностики ЛХ необходимо проведение биопсии пораженного лимфатического узла или его конгломерата с последующими гистологическим и иммуногистохимическим исследованиями. Опухолевый субстрат ЛХ — это клетки Рид — Штернберга (крупные двухъядерные клетки) и клетки Ходжкина, вытесняющие нормальные клетки лимфатического узла любой области организма. Злокачественные клетки окружены клеточным инфильтратом, состоящим из гистиоцитов, лимфоцитов, моноцитов, плазматических клеток и эозинофилов. Гистологический вариант ЛХ зависит от структуры реактивного микроокружения опухолевых клеток (клеточного состава).
Для определения распространенности опухолевого процесса перед началом лечения необходимо адекватное стадирование заболевания. До недавнего времени стандартными методами считались данные УЗИ периферических лимфатических узлов, органов брюшной полости и малого таза, КТ или МРТ. При необходимости выполнялась трепанобиопсия костного мозга и сцинтиграфия скелета.
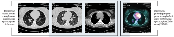
В настоящее время стандартом обследования при ЛХ является позитронно-эмиссионная томография с 18F-флюородезокси-глюкозой, совмещенная с КТ (ПЭТ-КТ).
ПЭТ-КТ позволяет точнее определить вовлеченные в опухолевый процесс лимфатические узлы и области организма, определить стадию и объем лечения. В нашей стране данный метод стал доступен для всех пациентов с ЛХ с 2017 года.
Определение стадии заболевания проводится по системе Энн-Арбор (Котсуолдский пересмотр стадирования, принятый на конференции в Энн-Арбор, США). Эта система стадирования учитывает количество вовлеченных в опухолевый процесс лимфатических зон и областей, расположение пораженных лимфатических узлов по одну либо по обе стороны диафрагмы, наличие либо отсутствие экстралимфатического распространения опухоли (Е), локализованный или диссиминированный процесс, а также наличие или отсутствие системных симптомом (А или В).
По Международной клинической классификации выделяют 4 стадии ЛХ.
Диагностические клетки лимфомы Ходжкина
Прогноз
У детей и подростков ЛХ является одной из наиболее хорошо излечиваемых опухолей. Около 85–90 % пациентов с классической ЛХ излечиваются на ранних стадиях заболевания (в сравнении с 75–80 % пациентов с запущенной стадией). К сожалению, ежегодно от 15 % до 20 % первичных случаев ЛХ у детей и подростков в Беларуси выявляется в запущенной форме (4-я стадия).
Лечение
Лечение пациентов с ЛХ — длительный процесс, занимает от 3 до 12 месяцев и проводится по специальным протоколам. В зависимости от стадии заболевания пациенты делятся на 3 группы (со своей интенсивностью и длительностью терапии).
Терапия болезни Ходжкина состоит из двух этапов: полихимиотерапии, направленной на максимальное уничтожение злокачественных клеток и достижение ремиссии с помощью химиопрепаратов, и лучевой терапии, направленной на закрепление и длительное сохранение ремиссии путем уничтожения остаточных опухолевых клеток, которые могут в последующем стать причиной рецидива.
Результаты лечения ЛХ в РНПЦ ДОГИ
В течение последнего десятилетия в РНПЦ детской онкологии, гематологии и иммунологии используется протокол лечения ЛХ, разработанный немецкими детскими онкогематологами, показавший свою высокую эффективность. Пятилетняя общая выживаемость составляет 98 %, бессобытийная выживаемость 90 %, однако у пациентов с распространенным процессом (4-я стадия заболевания) она значительно ниже (89 % и 74 % соответственно). Наиболее значимым фактором, влияющим на эффективность лечения, является объем исходной опухоли, оцениваемый по размерам конгломератов лимфатических узлов (особенно лимфатических узлов средостения) и числу зон поражения. В последние десятилетия доля пациентов с отсутствием полного эффекта или рецидивом заболевания практически не меняется и составляет 25 % для взрослых. Среди детей и подростков с ЛХ в Беларуси таких пациентов 10 %.
В Европе и США были предприняты попытки проведения терапии у этой категории пациентов более интенсивными схемами полихимиотерапии (ПХТ). В РНПЦ ДОГИ с 2017 года также введен в практику новый протокол для лечения пациентов с ЛХ высокой группы риска. Интенсификация терапии у таких пациентов показала высокую эффективность и приемлемую токсичность.
В первые протоколы лечения ЛХ была обязательно включена лучевая терапия (ЛТ) в высоких дозах (35–40 Гр). Со временем стало очевидно, что доза облучения при комбинированном лечении может быть ниже. Кроме того, именно отсроченные эффекты ЛТ являются определяющими в развитии неблагоприятных отдаленных эффектов после проведения лечения ЛХ (вторичные опухоли, сердечно-сосудистые заболевания, нарушения функции легких).
С активным внедрением ПЭТ-КТ в диагностику лимфом началась новая эра в лечении детей с ЛХ. ПЭТ-КТ стала активно применяться не только для стадирования, но и для оценки статуса ремиссии и раннего ответа на терапию. Быстрое достижение ПЭТ-негативности является маркером чувствительности опухоли к химиотерапии. Появился способ выявлять пациентов, для которых возможно отказаться от ЛТ. С 2017 года ЛТ отменяют пациентам с ранними стадиями, достигшим полной ремиссии по данным ПЭТ-КТ после завершения этапа ПХТ.
Несмотря на существенные успехи терапии ЛХ у детей, сохраняется определенное количество терапевтических неудач, 5 % пациентов с ЛХ оказываются рефрактерными к терапии первой линии и 5 % пациентов имеют рецидив заболевания, причем в 90 % случаев он происходит в течение первых двух лет. Значительно чаще возврат заболевания наблюдается у пациентов с распространенными стадиями. Если у ребенка рецидив произошел поздно (после окончания лечения прошло больше года), то второй курс ХТ и ЛТ дают очень хорошие результаты (10-летняя выживаемость у более 90 % пациентов). Если у ребенка ранний рецидив (после окончания лечения прошло от 3 до 12 месяцев), требуется очень интенсивная терапия (высокодозная ХТ с аутологичной трансплантацией гемопоэтических стволовых клеток (аутоТГСК), чтобы иметь хорошие шансы на выздоровление. Применение стандартной ХТ второй линии у этих пациентов позволяет достичь ответа в 50 % случаев.
По мере развития знаний в области биологии, патологии и иммунологии появилась возможность находить терапевтические мишени и разрабатывать новые препараты, которые должны быть не только эффективными, но и менее токсичными. Особенно это актуально для пациентов детского и молодого возраста. Такой мишенью стал CD30-рецептор на клетках опухоли ЛХ. С 2011 года стало возможным использование схем с включением таргетного препарата (моноклональное антитело брентуксимаб ведотин для лечения пациентов с рефрактерными и рецидивными ЛХ), которое приводит к выраженному и устойчивому ответу на терапию. В РНПЦ ДОГИ с 2015 года данный препарат включен в противорецидивные схемы лечения, что позволило достичь полной ремиссии у 85 % больных с рефрактерной ЛХ.
В настоящее время продолжается разработка методов лечения, снижающих вероятность возникновения осложнений и отдаленных последствий у перенесших заболевание.
Клинический случай
Пациент М., 17 лет. Считает себя больным с июня 2016 года, когда появилась потеря в весе около 5 кг за 2 месяца, зуд кожи голеней и стоп, по вечерам подъем температуры до субфебрильных значений (макс. 37,9 °С), боли в коленных суставах и поясничной области. По месту жительства осмотрен ревматологом. Клинически при осмотре выявлено увеличение шейно-надключичных и подмышечных лимфатических узлов, в общем анализе крови отмечено повышение СОЭ до 62 мм/ч, лейкоцитоз до 12,4ґ109/л. Проведена антибактериальная терапия (амоксиклав в течение 7 дней), без эффекта. По данным УЗИ ОБП — очаговые изменения в структуре селезенки. Проконсультирован гематологом в диагностическом центре, с подозрением на лимфопролиферативное заболевание направлен в РНПЦ ДОГИ.
На момент поступления в центр (30.08.16): состояние средней тяжести. Температура 37,6 °С. Кожа и слизистые нормальной окраски, чистые. Периферические лимфатические узлы: пальпируются множественные шейные лимфоузлы с обеих сторон до 2,5 см, плотные, в надключичной области множественные плотные до 1,5 см с обеих сторон, подмышечные с двух сторон до 2,5 см, плотные, подвижные, в конгломератах. Другие группы периферических лимфоузлов не увеличены. Тоны сердца ясные, ритмичные, ЧСС — 80 в минуту. Дыхание везикулярное, хрипы не выслушиваются, ЧД — 18 в минуту. Живот мягкий, безболезненный. Печень, селезенка не увеличены.
ОАК: Нb 119 г/л, эритроциты 4,29ґ1012/л, тромбоциты 329ґ109/л, лейкоциты — 13,02ґ109/л, э — 1 %, с — 87 %, л — 7 %, м — 3 %, СОЭ — 62 мм/ч.
БАК: ЩФ — 107 МЕ/л, ЛДГ 248 МЕ/л, билирубин —17,8 мкмоль/л, АЛТ — 30, АСТ — 23, СРБ — 3,4 г/л (норма до 0,5), мочевина — 6,5 ммоль/л, креатинин — 72 ммоль/л, белок — 86,2 г/л.
УЗИ ОБП: подвздошные лимфоузлы достоверно не увеличены; структура селезенки неоднородная, единичные очаги до 10 мм в структуре селезенки; лимфоузлы у ворот печени до 14 мм.
УЗИ периферических лимфоузлов: гиперплазия нижнешейных, надключичных, подключичных и подмышечных л/узлов с обеих сторон с патологическими изменениями структуры (УЗ-картина лимфопролиферативного заболевания).
Выполнена открытая биопсия подмышечного лимфоузла слева, морфологически — участки ткани лимфоузла с наличием стертой структуры, формированием фиброзных септ и скоплений лакунарных, диагностических и клеток Ходжкина. ИГХ: CD3(+фоновые клетки), CD30(+++), CD15(++), pax5(++), CD20(-), EBV(-).
Лимфома Ходжкина, вариант нодулярный склероз, смешанноклеточный состав, grade 1. БДУ (9663/3).
ПЭТ-КТ: в переднем средостении верхнего этажа срединно с акцентом вправо опухолевая масса; 36ґ73ґ60 мм. Изолированно лежащие увеличенные лимфоузлы: паратрахеальные и бифуркационные, до 15 мм; парастернально справа, до 18 мм. По данным ПЭТ: накопление РФП помимо вышеописанных узлов — в правом корне (бронхопульмональные л/узлы), в л/узлах — прекардиально справа, в кардиодиафрагмальной области слева, параэзофагеально (на КТ узел, 14 мм).
Очагов патологической плотности в легочной паренхиме не выявлено. Легочной рисунок не изменен. Долевые и сегментарные бронхи проходимы. Корни легких не расширены, структурны. Подмышечные л/узлы не увеличены. Плевральные полости свободны. Мягкие и костные ткани грудной клетки без структурных изменений. Отмечается увеличение забрюшинных л/узлов, до 23 мм; общих подвздошных до 15 мм. На ПЭТ патологическое накопление РФП помимо вышеописанных узлов — в воротах печени, в наружных подвздошных л/узлах, в селезенке.
Патологических объемных образований в брюшной полости и забрюшинном пространстве не выявлено. Печень не увеличена, однородной структуры. Поджелудочная железа гомогенна, обычных размеров и положения. Почки без видимых изменений.
В левой подвздошной кости определяется очаг гиперденсивной плотности с мелкобугристыми контурами, размером 10,5ґ6,6 мм. На ПЭТ также отмечается повышенное накопление РФП в телах позвонков С6, Тн4, L5, S1; ребрах; костях таза.
Заключение: лимфопролиферативное заболевание с поражением лимфоузлов по обе стороны диафрагмы, селезенки, костей.
МРТ костей таза, пояснично-крестцового отдела позвоночника, бедренных костей: определяются множественные разновеликие очаги патологического сигнала в костях таза (лонных, подвздошных, седалищных с обеих сторон), бедренных костях с обеих сторон, крестце (теле с переходом на поперечный отросток слева тела L5 позвонка, а также небольшие в теле L4 (до 9–10 мм) и L2 (до 5 мм).
Заключение: МР-картина многоочагового поражения костей таза, бедренных с обеих сторон, крестца, L5, L4, L2 позвонков.
Диагноз: классическая лимфома Ходжкина (вариант нодулярный склероз) с поражением шейно-надключичных лимфоузлов с двух сторон, подключичных лимфоузлов с двух сторон, лимфоузлов средостения, корня правого легкого, подмышечных лимфоузлов с двух сторон, лимфоузлов ворот печени, парааортальных лимфоузлов, селезенки, подвздошных лимфоузлов с двух сторон, множественное поражение костей скелета. Стадия IVB.
Пациенту проведено 6 блоков ПХТ по схемам BEACOPP-escalated.
Получен полный метаболический ответ по данным ПЭТ-КТ после этапа ПХТ. С целью консолидации ремиссии проведена лучевая терапия на зоны инициального поражения в СОД=20 Гр.
Специальное лечение закончено 21.03.17. Пациент до настоящего времени находится в стойкой ремиссии, наблюдается у онколога по месту жительства.
Источник: medvestnik.by

