Кашель у детей: особенности дифференциальной диагностики

Фото носит иллюстративный характер. Из открытых источников.
Кашель является одной из самых частых жалоб, с которой приводят на прием к врачу детей самого разного возраста, начиная с периода новорожденности. В подавляющем большинстве случаев причиной кашлевого рефлекса являются острые респираторные инфекции, однако за длительным, трудно поддающимся лечению кашлем может стоять другая, более серьезная патология. О том, как не пропустить тревожные симптомы при кашле, о дифференциальной диагностике острых обструктивных бронхитов и бронхиолитов и других сопровождающихся кашлем заболеваниях рассказал на вебинаре Павел Бережанский, доцент кафедры детских болезней МГМУ им. Сеченова, доктор мед. наук, врач-пульмонолог Морозовской ДГКБ (Москва).
Этиология ОРИ
Кашлевой рефлекс является механизмом, направленным на защиту слизистой оболочки дыхательных путей от вредного воздействия экзогенных факторов, удаление избыточного количества слизи, любых патологических выделений, инородных тел и других раздражающих веществ, восстановление проходимости дыхательных путей. Наиболее частой причиной кашля в детском возрасте являются ОРИ.

— В России регистрируется 75,4 тысячи случаев ОРИ на 100 тысяч детского населения до 17 лет, — отметил Павел Бережанский. — Примерно у 1/3 детей (29 %) с затяжным (от 4 до 8 недель) и хроническим (более 8 недель) кашлем развивается гиперреактивность бронхов, что в дальнейшем ведет к бронхиальной астме. Это объясняется анатомо-физиологическими особенностями нижних дыхательных путей в детском возрасте. Размеры альвеол у детей меньше, их количество тоже гораздо меньше, чем у взрослого. Легочная ткань менее воздушна, дыхательный объем низкий, при этом потребность в кислороде у ребенка в 2 раза больше, чем у взрослого. Слизистая трахеи и бронхов обильно васкуляризирована, на ней много желез, выработка секрета повышена. Все это способствует развитию физиологического тахипноэ, быстрого отека, воспаления, ателектазов, бронхообструкции.
Специалист напомнил, что в структуре этиологии ОРИ 90 % приходится на вирусные инфекции (вирус гриппа, коронавирус, аденовирус, респираторно-синцитиальный вирус, риновирус, метапневмовирус, бокавирус и др.), 10 % составляют бактериальные инфекции (Streptococcus pneumoniae, Haemophilus influenzae, Streptococcus pyogenes, Mycoplasma pneumoniae, Chlamydia pneumoniae, Moraxella catarrhalis и др.).
Павел Бережанский:
Прослеживается связь этиологических причин и возраста ребенка. Так, респираторно-синцитиальный вирус, вирус парагриппа 3-го типа и аденовирус чаще являются причиной ОРИ у детей раннего возраста, Mycoplasma pneumoniae и Chlamydia pneumoniae — у школьников, риновирусы — во всех возрастных категориях.
Виды кашля при различной патологии
При первичном осмотре нужно оценивать степень тяжести кашля (по специальным шкалам в баллах), уточнять его длительность, периодичность (эпизодический, кратковременный, приступообразный, постоянный), усиливается ли после сна или в течение суток, в горизонтальном или вертикальном положении и др. Специалист акцентировал внимание на клинических признаках кашлевого акта при различной инфекционной патологии.
При Коклюше. Кашель приступообразный со вдохом (репризом), в конце приступа отхождение вязкой мокроты или рвота. Пароксизмы наблюдаются чаще всего ночью.
Коклюшеподобный кашель. Имеет приступообразный характер, но не сопровождается репризами. В конце приступа отходит очень вязкая мокрота (например, при муковисцидозе).
При Ларингите, крупе. Кашель обычно сухой, грубый и лающий, что дает возможность быстро распознать нозологию.
При Бронхиальной астме. Обычно отделяется тягучая мокрота, затруднен выдох (инспираторная одышка), свистящие высокотональные хрипы.
Битональный кашель. Спастический, имеющий грубый основной тон и музыкальный высокий второй тон, возникающий от раздражения кашлевой зоны бифуркации трахеи увеличенными лимфатическими узлами. Наблюдается при туберкулезе, лимфогранулематозе.
При Трахеите. Кашель грубый («как в бочку»).
При Бронхите, пневмонии. Кашель может быть сухим в начале заболевания и влажным, с отделением мокроты в его разгаре. При вовлечении в процесс плевры становится болезненным.
Важные моменты в лечении
— Лечение непродуктивного сухого кашля (при достаточно благополучном состоянии ребенка) начинается с коррекции питьевого режима и питания, — отметил эксперт. — Ребенок должен достаточно пить (особенно если у него повышена температура), жидкость помогает разжижать мокроту. В доме должна быть нормальная температура, не выше 23 °С, нормальная влажность (40–55 %). В сухом воздухе выздоровление будет проходить дольше, сложнее. Родителям надо это объяснять. При выборе фармакологической терапии оптимальным будет назначение препарата, воздействующего на различные звенья патогенеза, обладающего минимальными побочными эффектами, доступного по цене.
При лечении кашля нередко назначаются препараты, которые дают ребенку через небулайзер.
— У каждого часто болеющего ребенка должны быть свои индивидуальные трубка-воздуховод и маска, — подчеркнул Павел Бережанский. — В стационарах эти предметы стерилизуются централизованно. А дома родители нередко уделяют недостаточное внимание обработке: снимают маску, прополаскивают под водой и сушат. В итоге остается контаминация. Еще хуже, когда ингалятором с маской помимо часто болеющего ребенка пользуются другие взрослые и пожилые члены семьи, у которых может быть резистентная флора, в том числе синегнойная палочка, клебсиелла. Подышал взрослый, помыли, высушили, но контаминация осталась. После этого подышал ребенок — и на воспаление, которое у него есть, наслаивается бактериальная инфекция. Хуже всего, если это окажется бактериальный возбудитель с высокой антибиотикорезистентностью. Второй важный момент: при назначении небулайзерной терапии препарат должен быть в адекватной дозировке.
По данным международных публикаций, небулайзерная терапия доставляет 5–10 % запланированной дозы в дыхательные пути спокойных, участвующих в процессе детей, но эта цифра падает до 1 % у плачущих младенцев, которых удерживают и заставляют дышать.
Тревожные симптомы
Павел Бережанский рассказал о симптомах, на которые следует обращать внимание педиатрам на амбулаторном приеме, чтобы вовремя направить ребенка в стационар. К ним относятся патологические изменения при рентгенологическом обследовании органов грудной клетки, а также следующие патологические респираторные симптомы:
По длительности кашля выделяют:
Синдром постназального затека
Эксперт отметил, что после перенесенного инфекционного заболевания кашель может сохраняться до 8–12 недель, это постинфекционный кашель (необходима дифференциальная диагностика с хроническим кашлем). Самая частая причина в таких случаях — синдром постназального затека, когда слизь затекает из носоглотки в гортань (у 19–30 % детей с жалобами на затяжной кашель). Нередко такой синдром возникает при острых вирусных и поствирусных риносинуситах, полипозном риносинусите, вазомоторном и аллергическом рините.
— У таких детей наблюдается ночной и утренний кашель, затруднение носового дыхания, при осмотре можно увидеть стекание слизи по задней стенке глотки, — перечислил эксперт. — Если ребенок долго и тяжело болел, то у него может отмечаться увеличение лимфоидной ткани на задней стенке глотки, и это еще одна причина затяжного постинфекционного кашля, который будет усиливаться в горизонтальном положении.
Бронхиальная обструкция
У 2/3 детей первых пяти лет жизни острые инфекции дыхательных путей протекают с бронхиальной обструкцией, т. е. с нарушением проходимости бронхов. При этом отмечается дыхательная недостаточность разной степени (см. таблицу).
— Дыхательную недостаточность можно заподозрить по таким клиническим признакам, как участие вспомогательной мускулатуры в акте дыхания, цианоз, беспокойство и другие изменения в поведении пациента, — отметил Павел Бережанский. — Объективно она оценивается по сатурации кислорода, сейчас это гораздо проще, поскольку у каждого педиатра есть пульсоксиметр.
Острый бронхит
Кашель является основным симптомом при острых бронхитах (код по МКБ-10: J20). В основе заболевания лежит воспаление слизистой оболочки бронхов (без вовлечения в процесс альвеол), вызванное различными инфекционными, реже физическими или химическими факторами. Длительность обычно не превышает 10–14 дней.
Павел Бережанский перечислил особенности клинической симптоматики острых бронхитов в зависимости от этиологии.
В 85–90 % случаев причиной острого бронхита являются вирусы, назначение антибиотиков таким пациентам не требуется.
Острый вирусный бронхит у детей, как правило, имеет острое начало с субфебрильной (реже фебрильной) температурой, катаральными симптомами (кашлем, ринитом). Кашель может появляться с 2–3-го дня болезни. Признаки интоксикации обычно отсутствуют. Длится 5–7 дней.
У грудных детей при РС-вирусной инфекции и у старших при аденовирусной кашель может сохраняться до 2 недель.
Хламидийный бронхит, вызванный Chlamydia trachomatis, наблюдается у детей в возрасте 2–4 месяцев при интранатальном заражении от матери. Состояние нарушается мало, температура обычно нормальная, кашель усиливается в течение 2–4 недель, иногда приступообразный, коклюшеподобный, но без реприз. Одышка выражена умеренно. В пользу хламидийной инфекции говорят признаки урогенитальной инфекции у матери, упорный конъюнктивит на 1-м месяце жизни ребенка. Хламидийный бронхит, вызванный Chlamydia pneumoniae, иногда протекает с бронхообструкцией. Клиническая картина может сопровождаться фарингитом и лимфаденитом.
Микоплазменный бронхит, вызванный Mycoplasma pneumoniae. Возможна стойкая фебрильная температура в отсутствие токсикоза, покраснение конъюнктив («сухой конъюнктивит») с обычно скудными другими катаральными явлениями. Нередки признаки обструкции. Без лечения температура и хрипы могут сохраняться до 2 недель. Микоплазменную этиологию бронхита следует подозревать у детей старше 5 лет и подростков с клиническими признаками бронхита и ассиметричной аускультативной картиной в легких.
Острый бронхит с синдромом бронхиальной обструкции сопровождается свистящими хрипами и удлинением выдоха, которые заметны уже на 1–2-й день болезни. ЧДД редко превышает 60 в минуту, диспноэ может быть не выражено, но иногда его признаком является беспокойство ребенка, смена позы в поисках наиболее удобной. Кашель малопродуктивный, температура умеренная. Общее состояние при этом обычно остается удовлетворительным. Повторные эпизоды синдрома бронхиальной обструкции требуют исключения у пациента бронхиальной астмы.
Причиной затяжного бронхита, связанного с формированием микробных биопленок на поврежденной оболочке слизистых путей, могут быть Streptococcus pneumoniae, Moraxella catarrhalis, нетипируемые штаммы Haemophilus influenzae.
Специалист поделился опытом из собственной практики в диагностике острых бронхитов:
1. Диффузный характер хрипов, субфебрильная температура, отсутствие токсикоза, перкуторных изменений и лейкоцитоза позволяют исключить пневмонию, поставить диагноз острого бронхита, не прибегая к рентгенографии грудной клетки.
2. Неоправданное назначение рентгенографии органов грудной клетки (легких) может приводить к выявлению артефактов (ателектазов, микроателектазов, воздушных ловушек), которые ошибочно диагностируются как пневмония. Детям с бронхитом, которым выполняется рентгенография органов грудной клетки, достоверно чаще назначаются антибиотики, хотя это не ускоряет их выздоровление!
3. Если в течении бронхита нет положительной динамики, то с третьих суток можно увидеть изменения в общем анализе крови, они зависят от этиологии заболевания: вирусная — лейкопения с лимфоцитозом; микоплазменная — изменения нехарактерны, иногда незначительное увеличение нейтрофилов; хламидийная — эозинофилия; бактериальная — лейкоцитоз с нейтрофилезом, ускорение СОЭ.
Острый бронхиолит
Воспалительное заболевание нижних дыхательных путей с преимущественным поражением мелких бронхов и бронхиол, сопровождающееся признаками нарушения бронхиальной проходимости (обструкции). Код заболевания по МКБ-10: J21. Распространенность у детей до года 1:100, максимальная заболеваемость регистрируется между вторым и восьмым месяцами жизни. 7–13 % заболевших госпитализируются, 1–3 % попадают в палаты интенсивной терапии с выраженной дыхательной недостаточностью. Пик заболеваемости приходится на ноябрь-апрель.
Перенесенный в детстве тяжелый бронхиолит в 2 раза повышает в будущем риск развития бронхиальной астмы.
Этиология: в 51 % случаев респираторно-синцитиальный вирус, 18 % — риновирус.
— Для бронхиолита характерны диффузные крепитирующие хрипы в легких, насморк, чихание, боль в горле, лихорадка обычно субфебрильная, — рассказал Павел Бережанский. — Если заболевание вызвано респираторно-синцитиальным вирусом, то прослушиваются влажные мелкопузырчатые хрипы на вдохе, оральная крепитация, кашель, как правило, влажный. При риновирусной этиологии кашель сухой, непродуктивный, свистящее дыхание, сухие свистящие хрипы на выдохе. На 4–5-й день состояние заметно ухудшается, наблюдаются признаки обезвоживания: сухость во рту, плач без слез, запавший родничок, беспокойство, нарушение сна, редкое мочеиспускание, потому что вся циркулирующая жидкость застревает в легких, стенки бронхов отекают. Отмечается дыхательная недостаточность: тахипноэ, тахикардия, периоральный цианоз, втяжение уступчивых мест грудной клетки, участие вспомогательной мускулатуры в дыхании, раздувание крыльев носа, кряхтение.
Рентгенография выполняется для исключения пневмонии.

— Специфических изменений на рентгенограмме при бронхиолите нет (см. рис. 1), — подчеркнул Павел Бережанский. — Отмечается вздутие легких (ребра расширены, практически горизонтальны), усиление бронхососудистого рисунка, участки понижения прозрачности легочной ткани, мелкие ателектазы, которые иногда ошибочно принимают за пневмонию, что ведет лишь к необоснованному назначению антибиотиков.
Лечение бронхиолита:
— В зависимости от этиологического фактора рекомендуется выделять отдельные эндотипы бронхиолита с повышенным риском развития бронхиальной астмы, — сообщил Павел Бережанский. — Например, RV+Moraxella (риновирус плюс моракселла) в 59 % случаев реализуют астму.
Повышенное содержание провоспалительных факторов и низкое содержание полиненасыщенных жирных кислот — фактор риска развития астмы. Нужно ставить на учет таких детей, наблюдать, заниматься профилактикой!
Другие возможные причины кашля
Гастроэзофагеальная рефлюксная болезнь (ГЭРБ) — состояние, при котором патологический заброс содержимого желудка в пищевод вызывает изжогу, тошноту, нарушения пищеварения, стоматологические проблемы, другие неприятные симптомы, вызванные раздражением блуждающего нерва. Регулярный контакт слизистых оболочек с агрессивным желудочным содержимым вызывает першение и боль в горле, осиплость, заложенность носа, ларингиты, фарингиты, кашель.

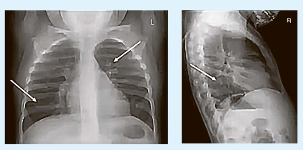
— Примерно у трети детей раннего и дошкольного возраста с хроническим кашлем его причиной является гастроэзофагеальный рефлюкс, — уточнил Павел Бережанский. — В процессе диагностического поиска выполняется КТ, выявляются грыжи пищеводного отверстия диафрагмы или другие серьезные моторные нарушения зоны эзофагогастрального перехода (см. рис. 2).
Синдром Сандифера — редкий вариант дебюта ГЭРБ у детей раннего возраста.
— Заподозрить этот синдром можно по причудливым позам ребенка, извивающимся движениям шеи, головы, иногда туловища, частым срыгиваниям, покашливаниям, кашлю, — рассказал эксперт. — Отмечается «симптом мокрого пятна» — появление на подушке после сна пятна белесоватого цвета, что обусловлено гиперсаливацией и гастроэзофагеальным рефлюксом. Если у маленького ребенка что-то болит или беспокоит, он обычно наклоняется в сторону. Если такого пациента не лечить, то у него формируются патологические искривления, кривошея. Дети с кривошеей, дистонической позой или атипичными приступами всегда должны быть оценены на наличие синдрома Сандифера.
Опухоли в легких. Показателен клинический случай. Мальчик, 12 лет. Физическая нагрузка вызывала кашель и одышку. Сухие свистящие хрипы на выдохе. Кашель с мокротой (в течение года), иногда кровохарканье. Частые средние отиты, оторея. По лор-органам без особенностей. В 10 лет выставлен диагноз: бронхиальная астма, неатопическая, резистентная к лечению.

— Если в процессе болезни не наступает улучшений, надо подумать, астма ли это? Нередко бывает, что за таким состоянием скрывается что-то более серьезное, как и оказалось с этим пациентом, — рассказал Павел Бережанский.
— Пациента обследовали. На рентгенограмме (см. рис. 3) — уплощение диафрагмы, уменьшение сосудистого рисунка, преимущественно справа, то есть признаки, характерные для бронхиальной астмы. Спирометрия, потовый тест (для исключения муковисцидоза), тест с оксидом азота и другие исследования были в норме. Все патологии, которые нужно исключить при бронхиальной астме, были исключены.

— Сделали КТ и обнаружили эндобронхеальную массу, которая сдавливала бронх (см. рис. 4). Повторяющаяся резистентная инфекция была показанием к проведению бронхоскопии; ее выполнили 
(см. рис. 5) с биопсией (см. рис. 6). К сожалению, у пациента обнаружена мукоэпидермоидная карцинома. Предстоит удаление легкого или в лучшем случае половины легкого. Если бы КТ провели раньше, то прогноз мог быть более оптимистичным.

Синдром Леффлера. Девочка, 5 лет. Жалобы: волнообразная лихорадка в течение 10 дней, кашель в течение нескольких месяцев с незначительным эффектом на АБ-терапии, заложенность носа за неделю до госпитализации. Анамнез: без особенностей.

Рисунок 7. Легочный рисунок в медиальных и средних зонах обоих легких обогащен и деформирован за счет сосудистого, интерстициального компонентов.— При дополнительном сборе анамнеза выяснилось, что ребенок принимал в пищу… кошачий корм прямо из миски, — сообщил Павел Бережанский. — При проведении микроскопических исследований кала на простейшие и яйца гельминтов ничего не обнаружили. Выполнили ИФА крови на яйца гельминтов, выявили токсокароз, Ig к токсокаре — 1:12 800, Ig общий превышал 2 000 ME/мл.
— В крови лейкоцитоз и нарастание в динамике эозинофилов, на 4-е сутки они повысились до 24,7 % (норма 1–5 %). По сути, синдром Леффлера — это эозинофильная пневмония, летучая. При проведении КТ или рентгеновского исследования (с очень хорошим контрастом) можно увидеть небольшие уплотнения (см. рис. 7, 8). Эозинофильное воспаление вызывает кашель. Клинический случай показывает, насколько в диагностике важен тщательно собранный анамнез.
Двойная дуга аорты. Мальчик, 4,5 года. Антропометрические данные: рост 104 см, вес 14,1 кг. Со слов матери: жалобы на кашель, одышку, затрудненное дыхание. Частые обострения 10–12 за год, госпитализации. Длительный постинфекционный кашель. Перенес ветряную оспу. Эпидемиологический анамнез не отягощен. Постоянно принимает препарат комбинированного действия (салметерол + флутиказон). Диагноз при поступлении: острый обструктивный бронхит, дыхательная недостаточность 1-й степени.
— Длительный хронический кашель является показанием к проведению КТ органов грудной клетки, — отметил Павел Бережанский. — Выявлено сосудистое кольцо — двойная дуга аорты. Также аплазия легочной артерии, гипоплазия левых легочных вен, стеноз правого бронха. Ребенка прооперировали, удалили левое легкое. После вмешательства правое легкое разрастается, начинает занимать всю полость грудной клетки. При таком оперативном лечении надо понимать, что органы отходят и тянут за собой бронхи и сосуды. Это большая проблема, потому что у пациента еще аномальное расположение легочных вен, которые перекручиваются на трахее. Но во всяком случае ребенок уже не болеет, у него нет дыхательной недостаточности.
В Беларуси при оказании помощи ребенку с врожденной двойной дугой аорты выбрали иную тактику. К решению проблемы подключились два центра — РНПЦ детской хирургии и РНПЦ ОМР им. Н. Н. Александрова. Применялось предоперационное 3D-моделирование, патологическую дугу аорты рассекли и наложили скобы. В 2022 году операцию впервые выполнили миниинвазивным способом).
Источник: medvestnik.by